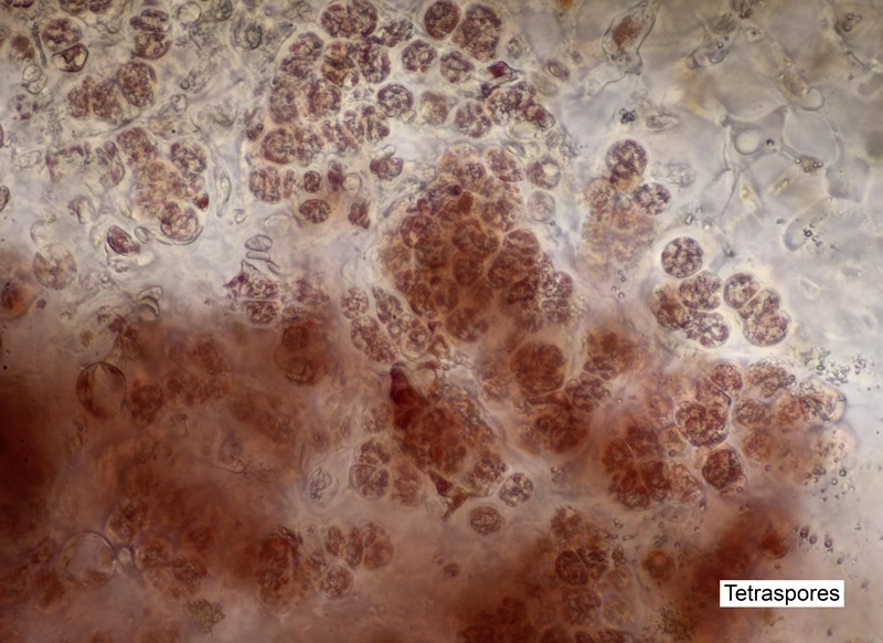
Phylum: Rhodophyta Family: Phyllophoraceae
Mastocarpus stellatus (Stackhouse) Guiry, 1984
Grape Pip Weed; False Irish Moss
A common and variable red seaweed that can look decidedly brown. The frond is curved giving a channelled and twisted appearance. Usually covered in papillae that are actually reproductive structures. Found on the lower part of rocky shores
References:
Fish & Fish (2011) - A Student's Guide to the Seashore;
Bunker, et al - Seaweeds of Britain and Ireland
Algae Outer Hebrides